TecheNet
  • Mobile
    • APPLE
    • APPS
    • GOOGLE
    • HUAWEI
    • ONEPLUS
    • SAMSUNG
    • XIAOMI
  • Tech
    • AUTOMÓVEIS
    • MOBILIDADE ELÉTRICA
    • IMAGEM & SOM
    • ENTREVISTAS
  • Gaming
  • IA
  • Opinião
  • Segurança
  • Negócios
    • EMPRESAS
    • CRIPTOMOEDAS
    • MARKETING
  • Mais
    • ARTE E CULTURA
    • DICAS
    • LIFESTYLE
    • DIREITOS COM CAUSA
    • INTERNET
    • GUIAS
    • PROMOÇÕES
    • REVIEWS
    • SUSTENTABILIDADE
    • TUTORIAIS
Sem resultados
Ver todos os resultados
TecheNet
Sem resultados
Ver todos os resultados

Cientistas desenvolvem o primeiro órgão completo e plenamente funcional em ratos

Luiz Guilherme Trevisan Gomes por Luiz Guilherme Trevisan Gomes
25/08/2014 - Atualizado a 26/08/2014
Em Ciência

 

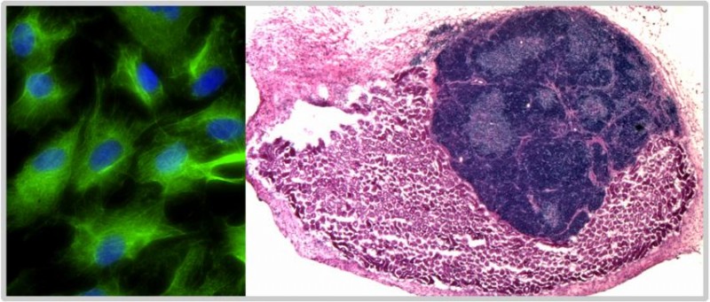
Pesquisadores desenvolveram um órgão inteiro em um animal vivo a partir de células reprogramadas em laboratório. No experimento, células do timo (esq. ) geradas com a reprogramação direta foram implantadas em rins de ratos, dando origem a um timo plenamente funcional (dir. ). Crédito: mrc centre for regenerative medicine; university of edinburgh
pesquisadores desenvolveram um órgão inteiro em um animal vivo a partir de células reprogramadas em laboratório. No experimento, células do timo (esq. ) geradas com a reprogramação direta foram implantadas em rins de ratos, dando origem a um timo plenamente funcional (dir. ). Crédito: centre for regenerative medicine; university of edinburgh




Pela primeira vez, cientistas desenvolveram um órgão completo no corpo de um animal partindo do zero, através do transplante de células programadas em laboratório. Os achados, que podem levar a avanços em técnicas de substituição de órgãos inteiros, foram detalhados em artigo publicado no periódico Nature Cell Biology.

Pesquisadores da Universidade de Edimburgo, no Reino Unido, reprogramaram células conhecidas como fibroblastos, extraídas de um embrião de camundongo, transformando-as em células do timo — glândula localizada entre os pulmões, próxima ao coração, responsável pela produção de anticorpos. Os fibroblastos são um tipo de célula comum e pouco especializado do tecido conjuntivo, podendo se converter em células mais especializadas deste tecido; daí sua utilização na pesquisa.

Misturadas com outros tipos de células especializadas do timo e implantadas em ratos, as células reprogramadas deram origem a um órgão de estrutura e funcionamento semelhantes aos de um timo adulto, sendo, inclusive, capaz de produzir linfócitos T, glóbulos brancos que agem na defesa imunológica combatendo, por exemplo, organismos invasores, como vírus e bactérias, e células cancerosas (bem como, às vezes, órgãos transplantados).

Reprogramação direta

No procedimento de reprogramação, a equipe de estudiosos induziu, nos fibroblastos extraídos do embrião, uma maior expressão do gene que codifica a proteína FOXN1, necessária para o surgimento das células epiteliais tímicas, especializadas na produção de linfócitos T. Indivíduos que possuem uma mutação desse gene sofrem de imunodeficiência devido à falta de anticorpos gerados pelo timo, estando mais sujeitos a infecções. Um tipo comum de tratamento é o transplante da glândula, dificultado pela escassez de doadores e pela possibilidade de rejeição do tecido transplantado por parte do organismo receptor.

As células epiteliais tímicas obtidas em laboratório foram enxertadas — junto a outras células do timo, com o objetivo de dar suporte ao desenvolvimento das primeiras — nos rins de ratos geneticamente idênticos. Cerca de um mês depois, as células haviam desenvolvido órgãos estruturalmente similares a um timo saudável, a partir dos quais foi observada a produção de linfócitos T.

“Reprogramando diretamente as células, conseguimos produzir um tipo de célula artificial que, quando transplantado, pode formar um órgão completamente organizado e funcional”, diz a professora líder do estudo Clare Blackburn, do Centro de Medicina Regenerativa da Universidade de Edimburgo. Para Blackburn, esse é o primeiro passo em direção ao objetivo de “gerar um timo artificial clinicamente útil em laboratório”.

Rob Buckle, diretor do mesmo Centro, afirma que ainda é necessário muito trabalho para que se obtenha uma técnica apropriada para uso em humanos, mas ressalta que o estudo é uma “demonstração convincente” do potencial da reprogramação direta.

Make-it-clear-brasilMake It Clear Brasil

Um apoio ao livre pensamento e a um entendimento do mundo baseado em evidências

Tags: célulasgenemedicina
PartilhaTweetEnvia
Luiz Guilherme Trevisan Gomes

Luiz Guilherme Trevisan Gomes

é graduado em Ciências Econômicas pela Universidade Estadual Paulista (Unesp) e trabalha como consultor financeiro na Valore Brasil - Controladoria de Resultados. Atualmente, cursa o MBA em Controladoria e Finanças na Universidade de São Paulo (USP). Entusiasta da razão e da ciência, fundou o espaço de divulgação científica Make It Clear Brasil, em 2013.

Artigos relacionados

Mit cria fibras musculares artificiais sem motores para robótica
Ciência

MIT cria fibras musculares artificiais sem motores para robótica

10/04/2026
Artemis ii - lua (3)
Espaço

O Moon Shot da Apple e da Nikon: A Artemis II já orbita a Lua e as fotos são incríveis

09/04/2026
Artemis ii
Espaço

Sucesso da Artemis II ofuscado por um problema insólito na sanita

05/04/2026
Spacex leva mais 6 satélites portugueses para o espaço
Espaço

SpaceX leva mais 6 satélites portugueses para o espaço

30/03/2026
Biossensor hormonal vestível em teste para ciclos de fiv
Ciência

Biossensor hormonal vestível em teste para ciclos de FIV

23/03/2026
Artemis ii
Espaço

Artemis II: satélite argentino ATENEA junta‑se à missão lunar

18/01/2026

Últimas notícias

Hp lança nova geração de soluções poly em portugal

HP lança nova geração de soluções Poly em Portugal

04/05/2026
Ilustração de um chip de smartphone com armazenamento cheio, a representar as exigências de espaço do android aicore.

Google explica o consumo de memória do Android AICore

04/05/2026
Samsung

Samsung obrigada a pagar 392 milhões à ZTE numa guerra global de patentes

03/05/2026

Narnia nos cinemas: Netflix adia filme de Greta Gerwig para 2027

Teclados mecânicos HyperX Origins 2 já chegaram a Portugal

Segway Xaber 300: a nova mota elétrica que vai dominar os trilhos

Xiaomi YU7 GT: Porque não se chama “Ultra”? A explicação simples

Xiaomi Mix 5 regressa em 2026 com câmara invisível e lente magnética

Novos acordos de IA do Pentágono excluem a Anthropic

Moto g47, g37 power e g37: três smartphones acessíveis para o dia a dia

Adiamento da reparação de telemóveis pode aumentar a fatura final

Motorola edge 70 pro: design de autor e quatro câmaras de 50 MP a 699 €

Automóveis Volvo passam a contar com Google Gemini

Xiaomi Smart Band 10 Pro: luxo cerâmico e peso pesado a caminho

Gemini e NotebookLM: A fusão perfeita agora grátis para ti

iPhone 18: Samsung pode dominar em exclusivo a produção dos novos ecrãs OLED

Huawei Nova 15 Max: Bateria de 8.500 mAh chega a 7 de maio

Motorola razr 70: três dobráveis para três perfis de utilizador

Star Wars: Galactic Racer acelera para as tuas mãos em outubro

Motorola Moto G87: O rei da gama média traz 200 MP por 399€

Techenet LOGO
  • Quem somos
  • Fale connosco
  • Termos e condições
  • Política de comentários
  • Política de Privacidade
  • Política de Cookies
  • O uso de IA no TecheNet
Sem resultados
Ver todos os resultados
  • Mobile
    • APPLE
    • APPS
    • GOOGLE
    • HUAWEI
    • ONEPLUS
    • SAMSUNG
    • XIAOMI
  • Tech
    • AUTOMÓVEIS
    • MOBILIDADE ELÉTRICA
    • IMAGEM & SOM
    • ENTREVISTAS
  • Gaming
  • IA
  • Opinião
  • Segurança
  • Negócios
    • EMPRESAS
    • CRIPTOMOEDAS
    • MARKETING
  • Mais
    • ARTE E CULTURA
    • DICAS
    • LIFESTYLE
    • DIREITOS COM CAUSA
    • INTERNET
    • GUIAS
    • PROMOÇÕES
    • REVIEWS
    • SUSTENTABILIDADE
    • TUTORIAIS

© 2026 JNews - Premium WordPress news & magazine theme by Jegtheme.