Contra-ataque: plantas controlam pragas modificando seu RNA
O besouro-da-batata (Leptinotarsa decemlineata) é considerado uma praga pelos agricultores, pois ataca as folhas de vegetais, prejudicando a produção de ...
O besouro-da-batata (Leptinotarsa decemlineata) é considerado uma praga pelos agricultores, pois ataca as folhas de vegetais, prejudicando a produção de ...
Experimento com animais vivos ativou um peptídeo que estimula a regeneração do tecido da pele, bem como uma proteína que ...
Mosquito Anopheles stephensi, vetor da malária. Uma equipe internacional de pesquisadores desenvolveu um aparelho compacto capaz de diagnosticar a infecção ...
Pesquisadores desenvolveram um órgão inteiro em um animal vivo a partir de células reprogramadas em laboratório. No experimento, células ...
Reconstrução tridimensional da rede de conexões entre os diferentes tipos de neurônios da retina de um camundongo. Crédito: Barlow, H. ...
Imagem de tomografia computadorizada que mostra o implante coclear no crânio de um porquinho-da-índia com deficiência auditiva. Crédito: UNSW Australia ...
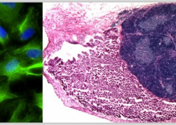
De mordida em mordida, a ameba enche o papo: Entamoeba histolytica (verde) destrói e fagocita célula humana (em fluorescência roxa). ...
Um novo método permite aos cientistas obter fotografias instantâneas da expressão de milhares de genes em amostras de tecidos biológicos ...