Criopreservação: mais uma opção terapêutica no cancro pediátrico
Num artigo de opinião, a Dra. Andreia Gomes apresenta a criopreservação como mais uma opção terapêutica para combater o cancro ...
Num artigo de opinião, a Dra. Andreia Gomes apresenta a criopreservação como mais uma opção terapêutica para combater o cancro ...
O Instituto Ronald McDonald e a tecnológica TeamViewer firmaram uma nova parceria, com o intuito de facilitar o trabalho remoto ...
A Ricoh, promove o Ricoh Imagine Change Challenge, que teve início no dia 16 e termina a 27 de Maio, uma iniciativa ...
A Google tornou-se bastante reconhecida ao longo dos últimos tempos por ser uma empresa que aposta imenso em projectos pouco ...
Calico, a startup do Google voltada para a saúde e o bem-estar, acaba de anunciar uma parceria inédita com a empresa farmacêutica AbbVie ...
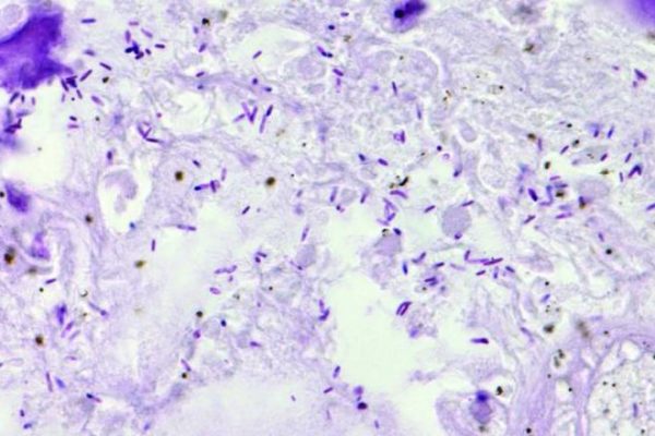
Bactérias C. novyi se desenvolvem e multiplicam enquanto combatem o tecido canceroso em um cão. As bactérias podem ser vistas ...
Equipe internacional de investigadores sob o comando do ICFO - Instituto de Ciências Fotônicas de Castelldefels (Barcelona) acaba de anunciar ...
Uma tecnologia capaz de aprimorar a visão dos cirurgiões foi utilizada, pela primeira vez, durante operação de remoção de um ...
GenomeWeb News, uma grande equipa internacional liderada por investigadores do Instituto Wellcome Trust Sanger conseguiram criar um catálogo de assinaturas ...
A Organização Mundial de Saúde (OMS) classifica a radiação dos celulares/telemóveis como sendo "possivelmente cancerígena para os humanos". Este é ...